Endodontie (Wurzelbehandlungen)
Die Erhaltung der natürlichen Zähne ist oberstes Gebot.
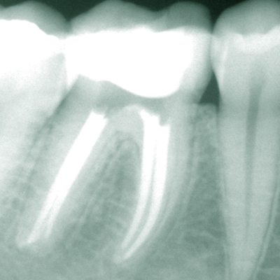
Professionell durchgeführte exakte Wurzelbehandlungen ermöglichen die Rettung eigener Zähne bei Entzündung oder nach Absterben des Gefäß-Nervengewebes (Pulpa) im Inneren des Zahnes in den meisten Fällen.Keine Angst, die Behandlung ist praktisch immer schmerzfrei. Wir verwenden sowohl für die Wurzelbehandlung als auch für Wurzelspitzenresektionen (Operation an der Wurzelspitze) modernste Techniken und neueste technische Hilfsmittel wie z.B. ein Operationsmikroskop oder ein Piezo-Ultraschallgerät. Somit können wir auch schwierige Fälle, wie Entfernen von Stiftaufbauten oder frakturierten Instrumenten, Wurzelkanalrevisionen oder komplizierte endodontisch-chirurgische Fälle lösen.
